作者 | 赵斌 主播 | 小宋
见到他的时候,他已经在重症监护室里待了5天。一位42岁的买卖人,5天前还坐在店铺旁经营生意。既往也没有听说有什么病,但此时气管插管、胃管、尿管、输液管,只要能和外界相通的开口都被管子占据了。虽然心率、血压还稳定,可人还是不清楚。身体消瘦,人肿的也脱了相。
42岁的人在短短的几天成了这副模样,没有一个医生敢怠慢,更何况我这个老医生了。先把病史从主管医生那里问了一个底朝天,5天前病人被商场的保安发现昏倒,赶紧叫了救护车,急救人员到现场的时候,病人呼吸、心跳都不好,立即进行了气管插管和用了各种抢救药物,等自主心率稳定了以后,送到了我们这家离病人工作的商场最近的医院。当病人到医院急诊时处在昏迷状态,血压80/50mmHg,心率120次/分,氧饱和度80%,人严重消瘦,双肺听着都是痰鸣音。化验显示白细胞增高,降钙素原到了重度感染的水平;血气提示代谢性酸中毒,PH只有6.8,乳酸数值也不低;血糖达到了25.8mmol/L;胸腹CT发现肺里有明显的渗出病灶和胃、肠道积气。感染中毒性休克,肺部感染,糖尿病可以诊断。接诊医生立即给予了积极的广谱抗生素,呼吸机辅助通气,胃肠减压,补液,控制血糖,血管活性药物维持血压等措施。经过一系列的捆绑治疗,病人的生命体征暂时稳定。可一天后病人的肾功能开始恶化,尿少,肌酐一路飙升,最高到了425μmol/L。血液里的白蛋白也开始急剧下降。此时利尿,白蛋白和血浆的输注哪一个也没敢犹豫。如果肾功能再持续不好转,下一步就需要血液滤过治疗了。由于医疗花销没有减缓的趋势,开始不惜一切代价救治的家属拿不定主意了。

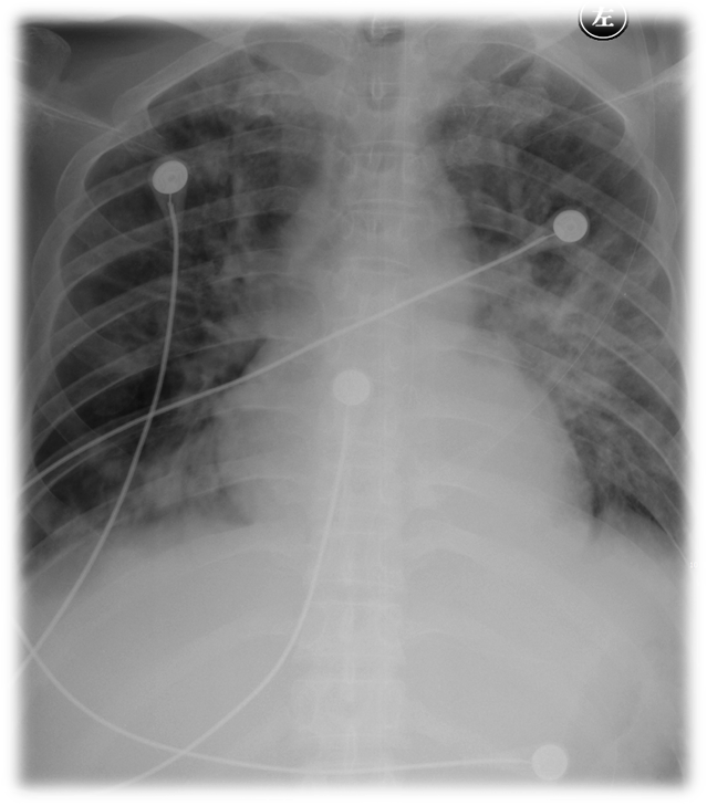
图:患者入院时胸片
第一次见病人那天也是病人的父亲从老家赶来,一位典型朴实的农村老人。这几天一直守在病人身边照料病人的是他的姐姐和姐夫。我从主管医生那里对病人的病情大致有了了解,下一步就急想看到病人的真实情况(以利于对预后的判断和估测治疗胜算的把握),家里的情况(看看经济的承受能力,家庭关系的亲密度),以及家人此时此刻对疾病和治疗的态度以及期望值(毕竟在危重病的治疗上,谁都不是神仙,谁都有可能鸡飞蛋打)。看病人时,他处在镇静状态,瘦瘦的,估计平素营养状况就不是太好,面部,下肢和腰背部都肿的很厉害。监护仪显示病人的生命体征维持在一个低水平的稳定状态,可能经过5天的抗感染治疗,显然有了一定的效果。看完病人我先问候了一下在床旁的病人的父亲,接着与病人的姐姐了解更具体的情况。病人姐姐是一个南方人,应该也是40多岁,长时间在外做生意,给人的感觉很干练,说话也有条理。她刚给病人的妻子打完电话,余气未消。像炒蹦豆似的跟我说了她的弟媳的人品,总结一句话就是认钱不认人。现在病人的爱人和孩子在外地的娘家,从病人姐姐的口气里,不要指望她弟媳会对病人做出什么照顾和帮助,更不要想出钱了。
病人结婚前一直是由姐姐帮助,来京做生意也是姐姐做了前期的铺垫,平素身体算不上强壮但也没有什么病,人也还比较开朗。自从结婚生子,经济上有了压力,加上生意不景气,在北京这样一个高消费的城市,无疑会使任何人都能产生不明的紧张和背上精神上的压力。听病人姐姐说:病人的爱人还要求在北京买房,想过上富裕的生活。一下子病人就变得比以前更加忙碌,起早贪黑打理生意。吃饭没有着落,睡觉没有时间。虽然力气花了不少,人也没有偷懒,可装钱的腰包始终没有鼓起来。爱人一气之下带着孩子回了娘家,此后病人也像泄了气的皮球再也没有挣钱的斗志了。整天无所事事,守在店铺里喝饮料玩游戏,精神没依靠,生活无规律。终于在有一天奄奄一息昏倒在店铺旁,被保安发现送到了医院。
虽然病人姐姐说的情况跟现实可能会有一些出入,因为她最近也一直没有在病人身边,但作为医生还是能顺藤摸瓜分析出病人此次发病的大概诱因。病人可能先是有了糖尿病,没有在意。接着生活的不规律,情绪的压抑使得全身营养和免疫力都受到了损害。加上每天不活动、玩游戏、喝饮料,使本来就不健康的身体雪上加霜。先是糖尿病酸中毒,导致呼吸循环受抑制,接着肺部感染,感染中毒性休克,全身多脏器衰竭。现在卫生条件好了,人们营养水平高了,像几百年前那种病找人的传染病和营养不良情况越来越少了。取而代之的是不循自然规律,不按身体节奏,主观主导客观,随意主宰科学的人找病的情况越来越多。病人理应值得同情,因为他痛苦,他离死亡最近;但病人不把自己的身体当回事,任意糟蹋,看似挺勇敢面对死亡视死如归,作为外人你又怎么看呢?按理说身体是自己的,外人无从过问。可一旦有病,你还能自己管自己吗?如果外人不管,你会不会把见死不救的大帽子扣给人家呢?把没有良心的话甩给人家呢?
看病人的第二天,病情有了转机(当然不是我的一锤定音)。停用了镇静药后,病人有了意识,自主呼吸也比较稳定,也有了自主咳痰的能力,医生开始为病人脱机拔管做准备。也就是在这天给病人拔除了气管插管,改用无创呼吸机序贯治疗。起先病人呼吸有些费力,血氧也会有些波动,但经过排痰和调整无创呼吸机参数,病人渐渐开始适应。虽然肾功能没有明显的改善,但抗生素的用量我们始终没有减。因为感染不控制,一味按肾功能的指标调整抗生素用量,有可能会使感染反弹,导致治疗前功尽弃。在危重症病人的救治上,谁都没有十足的把握,公式找不着,指南不是救命稻草,只有边走边看更科学。医生的坚持还是有了回报,病人治疗第7天尿量开始增多,肌酐指标也没有再继续上升。更让我们看出希望的是,病人的胃肠减压管撤了,并能开始主动进食一些流质和半流饮食。对医生的问答病人也能给予几个字的回复,病人的眼睛也有了一些精气神。在临床工作中对重病人和老年病人,我很关注他们的两个表现,一个是精神状态,这可以通过病人的眼神就可以反映出来;一个是吃喝情况,有食欲,想吃就是病情好转的表现,具体吃什么,吃多吃少是另一回事。
入院第12天,病人的肌酐终于下降到了271μmol/L,其他肝功能指标,炎症指标,胸片的渗出病变都有了大幅度的改善,病人在外人的帮助下还可以在轮椅上坐一坐。入院第13天,病人可以自行下地在床边做些简单的活动。入院第14天,困扰了病人14天的全身水肿也有了明显的改善,生命体征达到了正常人的水平,在不吸氧的情况下,病人外周血氧饱和度可维持在95%以上。看来在鬼门关走过一遭的病人,此时此刻应该是闯过来了。由于费用问题,姐姐提出带弟弟回老家继续调养。从4月12日入院,到病人4月26日离院,整整14天。这十四天对多数人来讲可能干不了太多的事情,既成就不了学业,也做不成百万富翁;它对人的一生来讲,也只占据了短短的一刻,只是百分之零点几几几,可能使人很难想起在这些天都做了什么。但对这位病人却经历了死与生的考验,如果相信有轮回,那么这个病人今后会不会大富大贵呢?实现他的梦想:生意成功,北京有房。

图:患者出院时胸片
14是我的护身符,因为我的生日是14,它会陪伴我一生。但中国人不喜欢4这个数字,只因它是死的谐音。其实人的死活与它有什么关系。我年年要过14的生日,快60岁了,现在还没有看到要死的苗头。这个病人也是经过了14天救治才起死回生,看来4和死没有什么必然关系。
在这里其实我想通过这个真实的病例跟大家分享这么几件事:
1、命是自己的,好自为之;
2、人比人,气死人;
3、人活着是心情,较劲没有用;
4、破罐破摔是懦夫,没人同情;
5、有身体就有一切,没有身体,金山银山也与你无关;
6、钱是身外之物,有它好,没它也能活;
7、医学是一个美丽的谜团,能治好这个病人,不见得能治好那个病号;
8、人死是最终的结局,但死而无憾应该是一个不错的选择;
9、临床的救治在坚持,有机会就要不放弃;
10、人的抗病能力有时比想象的大;
11、医生不是万能的,但没有医生又恰恰是不能的,所以对医生好一些;
12、治病要抓根本,一切围着根本转,偏离了就会出错;
13、说医生把要死的病人治好了,认为是医生本领高,我认为是病人不该死。因为没有哪位医生在病人好之前,敢打保票,除了庸医。
临床每件事都可以讲成一个故事,医学的故事很有趣,因为它涉及的都是人。所以,故事里有思考,有启迪,有感悟。人可以混混沌沌的活着,也可以有思想的活着,恐怕后者可以使人生充满意义。大家不妨都可以讲一讲自己身边的故事,活跃活跃自己的思维,那样我们就不会只把眼光盯在一处,使自己身心过于狭隘。

